ЧТО ДЕЛАТЬ ДЛЯ ПРОФИЛАКТИКИ ПАРОДОНТОЗА
Пародонтоз — это серьезное заболевание десен и пародонта, которое может привести к потере зубов. Однако, соблюдая регулярные профилактические меры, можно снизить риск его развития.
1. Регулярное и правильное чистка зубов: чистите зубы дважды в день, используя мягкую зубную щетку и качественную зубную пасту. Не забывайте также чистить промежутки между зубами с помощью зубной нити или межзубной щетки.
2. Правильное питание: ограничьте потребление сладких и кислых продуктов, которые могут способствовать размножению бактерий, приводящих к пародонтозу. Предпочтение отдавайте пище, богатой витаминами и минералами, особенно витамином С.
3. Регулярные визиты к стоматологу: профессиональная чистка зубов и осмотр помогут выявить проблемы с деснами на самых ранних стадиях и предотвратить развитие пародонтоза.
4. Избегайте курения: курение является одной из основных причин пародонтоза. Отказ от курения значительно снизит вероятность его возникновения.
5. Соблюдайте уровень стресса: стресс может оказывать отрицательное влияние на здоровье десен. Найдите способы управлять стрессом, такие как занятия спортом, медитация или прогулки на свежем воздухе.
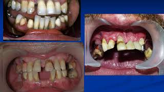
Пародонтит, гингивит, пародонтоз - причины, профилактика и лечение заболеваний десен - Дентал ТВ
Профилактика пародонтита.
Профилактика пародонтита. Что нужно делать, чтобы избежать заболевания десен?
😟 Запущенный пародонтит
Самый простой способ победить пародонтит - Лечение пародонтита народные методы
ПАРОДОНТОЗ и ПАРОДОНТИТ. Причины возникновения
Процедура VECTOR для лечения заболеваний пародонта (дёсен)
Профилактика пародонтита
Гингивит и пародонтит. Лечение и профилактика.
Лечение пародонтоз — Кюретаж и скалер ©




















